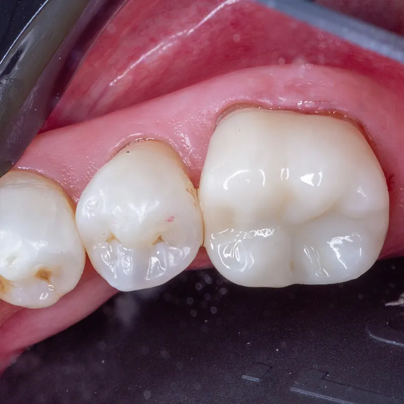
Our team at Horizon Dental Care is passionate about restoring and enhancing our patients’ smiles using conservative, state of the art technology and procedures that result in beautiful, long lasting results. One of the ways we do this is with CEREC restorations.
When you schedule your visit, our dentist, Dr. Bob Johnson, will take a look at any current dental damage and determine what CEREC restoration will best protect and repair your tooth. Dr. Johnson will then prepare your tooth for the recommended CEREC restoration. After the tooth is prepared, a digital impression of the tooth is taken using an imaging camera. This digital impression eliminates the need for a traditional “gooey” impression. From the digital impression, 3D model is created, a restoration is designed using computer-assisted software and the design is taken to our office’s milling machine. The milling machine will then create a natural-looking, tooth-colored filling, crown, bridge or veneer that will be fitted by Dr. Johnson. After making sure the restoration fits properly, the restoration is bonded into place and polished to best blend in with your smile. Our CEREC single day restorations in Grand Junction, Colorado, make it possible for you to receive your new filling or crown in just one visit to our office. No temporaries involved!
We are happy to help our patients receive their new smile; call 970-245-3633 to schedule an appointment or to find out more about CEREC technology.


